審美歯科
- 保険適用にならない材料は全額自己負担のため高額になります
- 咬み合わせが強い方は欠けたり割れる可能性があります
- 割れない設計にするために詰め物や被せ物の厚みが必要なため、歯を削る量が多いことがあります
- ホワイトニング剤の影響で知覚過敏がおこる可能性があります
- 個人差があるため、1回の施術で思ったような白さにならないことがあります
- 歯の特徴により色ムラが出る可能性があります
- 詰め物や被せ物が多い方は、自分の歯との色の差が目立つ場合があります
- 差し歯などの人工の歯を白くすることはできません
- 「無カタラーゼ症」の方は、ホワイトニング剤に含まれる過酸化水素を分解する酵素がないため分解されずに残ってしまい、進行性口腔壊死などの重い病気になる可能性があるためホワイトニングはできません。
- 妊娠中や授乳中の方は控えてください
詰め物・かぶせ物
審美歯科では機能的な修復だけでなく、見た目をより美しくするために詰め物やかぶせ物を用いた治療を行います。
歯を白くするメリット
見た目の改善
白く美しい歯は、より魅力的な笑顔を作り出し、自信を高めます。
イメージアップ
清潔で健康的な歯は、社会的な状況や対人関係において好印象を与えます。
詰め物の素材
ジルコニア
この素材はその堅牢性と耐久性で知られ、特に咀嚼力が求められる奥歯の治療に適しています。
透明感には欠けますが、見た目の美しさに関しても以前よりは改善が見られています。
e-Max
リチウムジルコシリケート製のこのセラミック材料は、自然な見た目と透明感が特徴で、強度も充分にありますが、ジルコニアほどの強度はありません。
ハイブリッドセラミック
セラミックと樹脂の混合材料で、両者の良い特性を兼ね備えています。
審美性が高く、かつ破損にも強いです。
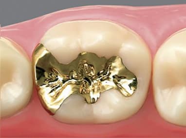
ゴールド
金を主成分とするこの材料は、加工しやすく、耐久性に優れていますが、その特有の色が審美面でのデメリットとなる場合があります。
かぶせ物の素材
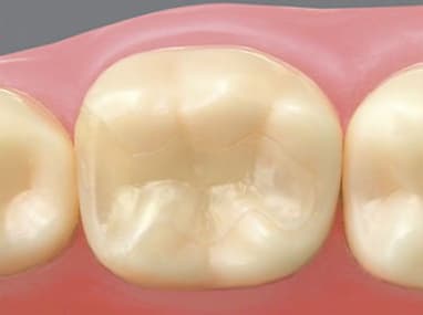
オールセラミック
100%セラミック製のこの材料は、自然な歯と非常に似た見た目を実現し、金属アレルギーの心配もないですが、若干の脆さがあります。
ジルコニアセラミック
ジルコニアとセラミックの特性を組み合わせたこの材料は、高い強度と美しい見た目を両立しています。
オールジルコニア
完全にジルコニアで作られた被せ物は、非常に高い耐久性を誇り、特に力がかかる後方歯に適していますが、透明感は期待できません。
ハイブリッドセラミック
セラミックと樹脂を組み合わせたこの材料は、柔軟性と硬度を兼ね備えており、美しさと耐久性のバランスが取れています。
治療の流れ
初診
歯科医師が口腔内を検査し、治療計画を立案します。
歯の準備
詰め物やかぶせ物を施すために、損傷部分を除去したり歯を削ったりします。
印象採取
修復する歯の形状を取り、それに基づいて審美材料を製作します。
仮装着
最終的な製作物が完成するまでの間、仮の詰め物やかぶせ物を装着します。
最終装着
製作された詰め物やかぶせ物を確認し、問題がなければ接着します。
調整とフォローアップ
咬み合わせの調整を行い、必要に応じて後日のフォローアップを予定します。
治療期間・回数(虫歯の状態によって変わります)
治療期間 |
●~●ヶ月 |
治療回数 |
●~●回 |
費用 |
〈詰め物〉 |
リスク・副作用 |
|
今入れている銀歯が気になる方も、白い補綴物に変更が可能です。(自費診療になる場合があります。)
グリーン歯科・矯正歯科では、患者様のお気持ちを1番に考えた治療を行っています。
ご興味のある方はお気軽にお問い合わせください。
ホワイトニング
ホワイトニングは、歯の色を明るくする審美歯科治療です。
歯の黄ばみや変色を解消し、明るく健康的な笑顔を取り戻します。
ホワイトニングのメリット
美しい笑顔
歯を白くすることで、全体的な印象が明るくなります。
自信の向上
見た目の改善により、笑顔に自信を持つことができます。
ホワイトニングの種類
オフィスホワイトニング
歯科医院で行われる専門的なホワイトニング。
短時間で明るい白さを実現します。
ホームホワイトニング
自宅で行うホワイトニング。
専用のトレイとホワイトニング剤を使用します。
ホワイトニング治療の流れ
診断と計画
歯科医師による口腔内検査とホワイトニング計画の立案をします。
クリーニング
ホワイトニング前にプラークや歯石の除去いたします。
ホワイトニング処置
オフィスまたはホームホワイトニングに基づいた処置を実施します。
結果の評価とメンテナンス
治療後の色調の評価と、持続的な効果を得るためのメンテナンス指導。
治療期間・回数
治療期間 |
●~●ヶ月 |
治療回数 |
●~●回 |
費用 |
ホーム(片顎) ●円 |
リスク・副作用 |
|
ホワイトニングは、歯の美しさを取り戻すための人気のある治療法ですが、効果や持続期間には個人差があるため、治療前に歯科医師としっかりと相談することが重要です。
グリーン歯科・矯正歯科では皆さまからのご相談をお待ちしております。
